A tooth filling is a very common and effective restorative treatment. For many years, mercury-based fillings (also known as “amalgam” fillings) were the norm, but dental advancements have led to the standard use of higher-quality materials. Tooth-colored fillings, or composite fillings, can blend in seamlessly with the rest of your smile and restore tooth integrity and health through a minimally-invasive process.
At Pasadena Dental Aesthetics, cosmetic dentist Arash Azarbal, DDS utilizes the latest technology and techniques to help patients achieve their dream smile along with healthier teeth and gums. With tooth-colored fillings and mercury-free dentistry, Dr. Azarbal can help restore dental health, prevent cavities from getting worse, and provide treatment that does not create a “metal” appearance on the teeth.
- Tooth-Colored Filling Benefits
- Tooth-Colored Filling Procedure
- Tooth-Colored Filling Results
- Mercury-Free Procedure Options
- Tooth-Colored Filling Cost
What Are the Benefits of Tooth-Colored Fillings?
Transitioning away from mercury-based fillings can be exceptionally beneficial. Mercury is a heavy metal that is highly toxic if ingested in any form. Research has indicated that chewing pressures over time cause a small amount of mercury vapor to be released from dental fillings, which may result in incremental exposure over time.
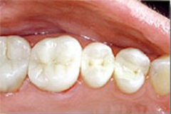
Newer composite resins are strong enough to be placed even in the back teeth. The metal-free and non-toxic resin bonds to the tooth itself and strengthens the tooth overall, which can lead to a lower risk of breakage or future damage. Patients with composite fillings also report less sensitivity to heat and cold than patients with traditional amalgam fillings. Additionally, composite fillings are white and match the surrounding color of the teeth. Placement of tooth-colored fillings also requires less tooth preparation than a traditional amalgam filling, which means we are able to conserve more of the healthy tooth structure and smaller amount of material is needed to complete the filling.
- Traditional amalgam “silver” fillings
- Mercury-free white composite fillings
How Is the Tooth-Colored Fillings Procedure Performed?
The composite filling procedure is often considered minimally-invasive. A local anesthetic is typically applied to the area surrounding the affected tooth, so potential discomfort can be reduced when the tooth decay is removed. Once that space in the tooth is cleared and residual bacteria is removed, tooth-colored resin is added and hardened with a special curing light. The filling is then shaped and adjusted to achieve the desired outcome.
The numbing sensation from the anesthetic gradually wears off after treatment, and you may be advised to eat soft foods following the procedure. Over-the-counter pain medication is typically not necessary.
It’s important to emphasize that composite restorations are more technique-sensitive. Dentists must undergo significant post-graduate training to learn how to use these filling materials properly. Placement of composite fillings requires certain precautions for the material to bond correctly. Dr. Azarbal has completed extensive training in the proper use of these composite resins and is very comfortable placing them.
How Long Do Tooth-Colored Fillings Last?
When performed by a qualified dentist like Dr. Azarbal, tooth-colored fillings typically produce long-lasting results. Restoration outcomes can also be preserved by a strong oral hygiene routine and attending regular dental check-ups and cleanings. If you are prone to teeth grinding or clenching, it may be best to wear a nightguard to protect your teeth and fillings.
What Other Dental Procedures Can Be Metal Free?
Mercury-free dentistry can extend beyond just tooth-colored fillings. There are many other options available in regards to other kinds of dental procedures and treatments for which advanced, “metal-free” materials can be used. Some of the most common include:
Metal-Free Porcelain Inlays and Onlays
Porcelain inlays and onlays are types of restorations that are used to repair the top, or chewing portion, of the teeth. A digital impression will be taken of your tooth or teeth that need the restoration (or replacements for metal fillings), and that information will be transferred to our CEREC® system. A new, metal-free porcelain inlay or onlay can be designed, developed, and created during your same appointment and placed by Dr. Azarbal, so there is often no need to return for a second visit. Your new restoration should blend in with your natural tooth and provide a visually appealing and durable alternative to a metal filling.
Metal-Free Crowns
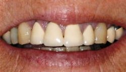
When porcelain was used for a crown in the past, it had to be baked onto a metal foundation. This has some disadvantages. To cover the metal, the crowns required a more opaque layer, which detracts from the porcelain’s natural beauty. So, what would normally be a great way to mimic the beauty of natural teeth can end up looking fake.
Porcelain-fused-to-metal crowns often develop a black line at the gumline. Though dentists try to hide this with a “porcelain butt margin” to make it less noticeable, the lines are still there. Fortunately, through new bonding technology, we can now place all-porcelain crowns without the need for a metal foundation. The natural translucency and gloss of the porcelain helps create a more beautiful, natural-looking smile.
- These crowns were made with a metal foundation. Notice how much more opaque the teeth look. On some of them, you can already see the metal band that has developed at the gumline.
- This is the same smile with all porcelain crowns. Because they are metal free, they are able to take on a much more natural appearance. The crowns have the translucency and sparkle of natural teeth.
How Much Do Tooth-Colored Fillings Cost?
The cost of tooth-colored fillings often varies from patient to patient due to the personalized nature of treatment plans. Factors that may contribute to the overall cost include:
- The number of teeth being treated
- The location of the affected tooth or teeth
- Additional preparations needed to complete the filling
Once your personalized treatment plan has been developed, we will provide you with a customized quote. Tooth-colored fillings are often covered under dental insurance policies accepted here at our practice. Additionally, we partner with reputable third-party lending companies to provide helpful financing options. CareCredit® offers qualified patients affordable payment and budgeting plans to help make procedures more accessible and payments more manageable.
For more information about tooth-colored fillings, or to schedule a consultation with Dr. Azarbal, contact our office today.



